Sign-up for our New Digital Chart System Here
 

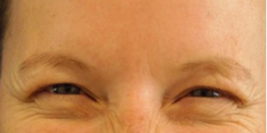
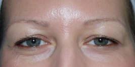
View More Cases

Schedule a Consultation

Give us a call or fill out form below to schedule online.

Contact Us
How May We Contact You?
Please contact me via
How would you like to meet?
Consultation Type
Non Surgical Consultants
I am Interested in:
Surgical Procedures:
Non-Surgical Procedures:
Address
Address
City
State/Province
Zip/Postal
Sign Up for Our Email Newsletter
I agree to the Terms of Use*
*By submitting this form you consent to receive phone calls, text messages and emails from San Francisco Plastic Surgery. It is not a condition of purchasing any goods or services. You can opt out at any time, message/data rates may apply, and opting-in includes acceptance of the Privacy Policy and Terms of Use. Communications through this website or via email are not encrypted and are not necessarily secure. Use of the internet or email is for your convenience only, and by using them, you assume the risk of unauthorized use.

Our Location

Hours

Monday-Friday: 8am - 5pm

Saturday-Sunday: Closed

Monday:
8 AM to 5 PM

Tuesday:
8 AM to 5 PM

Wednesday:
8 AM to 5 PM

Thursday:
8 AM to 5 PM

Friday:
8 AM to 5 PM

Saturday:
8 AM to 5 PM

Sunday:
8 AM to 5 PM

Address

Dr. Karen M. Horton
2100 Webster St #506
San Francisco, CA 94115
Phone: 415.570.7352

Accreditations

ACS FACS logo
The Aesthetic Society Logo - ASAPS New Logo
Castle Connolly Exceptional Women in Medicine award
Castle Connolly top doctors 2025 logo

About Dr. Horton

Back To Top