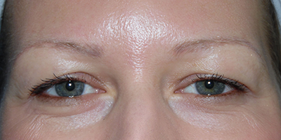
Botox Cosmetic to address the "11's" between the brows. Result is a smoother, more refreshed appearance as well as a subtle brow lift.
Patient treated by Emily Sespaniak, NP.


*All photos are actual patient photographs and are for illustrative purposes only. Individual results may vary.