Sign-up for our New Digital Chart System Here

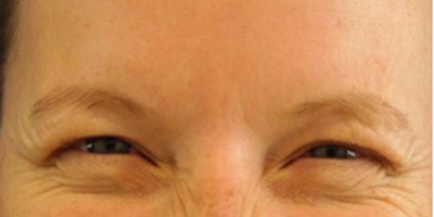
Patient treated by Emily Sespaniak, NP.

before
after

*All photos are actual patient photographs and are for illustrative purposes only. Individual results may vary.