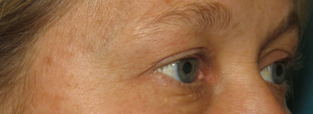
Before and after bilateral upper lid blepharoplasty in a 52 year old woman. She had noticed aging of her upper eyelids and had considered a full Mommy Makeover as well. She didn’t have the full time to take off work for a full body surgery recovery like a tummy tuck and breast lift with liposuction, but she could take one week of work and work from home for 2 weeks after that!
While she was in between jobs she elected to have her “eyes done”. She was a good candidate for an upper eyelid lift (blepharoplasty). This procedure was done in the office under local anesthesia. A conservative approach was taken, with only excess skin removed (no muscle or fat).
Postoperatively, her bruising resolved within two weeks. Follow up photos are shown just one month after surgery with slightly pink incisions. She still looks a little swollen and somewhat “stitched” but she already loves her results and looks forward to starting her new job looking refreshed, but like herself. She will put her Mommy Makeover off until she is able and willing to take a longer time off work. For now, she is happy!












*All photos are actual patient photographs and are for illustrative purposes only. Individual results may vary.