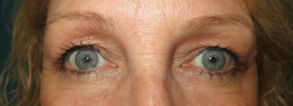
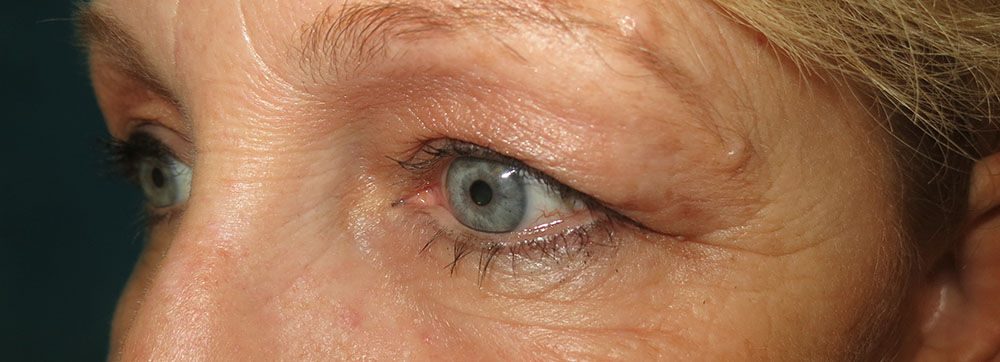
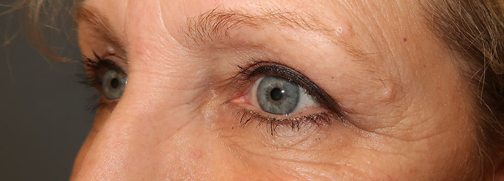
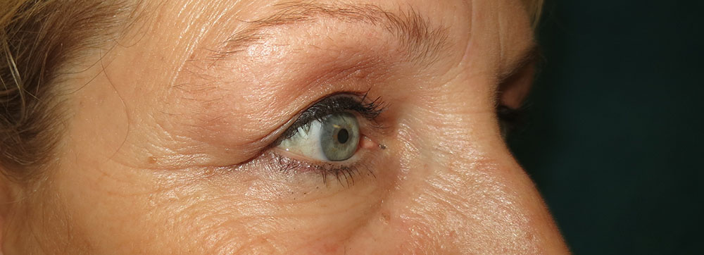
Before and after upper lid blepharoplasty (upper eyelid lift) in a 57 year old woman. She looked in the mirror “and saw my mother’s eyes” and had to physically lift her upper eyelid skin upwards in order to apply eye makeup and mascara.
She felt she looked much older than her actual age. She did not want to look fake, overdone or different. She was going for a natural result where she would “have my old eyes back”.
An upper lid blepharoplasty removed hanging upper lid skin. Her eyelid muscles and fat were left alone to avoid a hollowed out look. She avoided exercise for a month after surgery and minor bruising resolved within 10 days.
Follow up photos are shown at one year. She looks natural, like herself and refreshed. Results are subtle and significant, mostly to my patient! She is so happy she did it.












*All photos are actual patient photographs and are for illustrative purposes only. Individual results may vary.