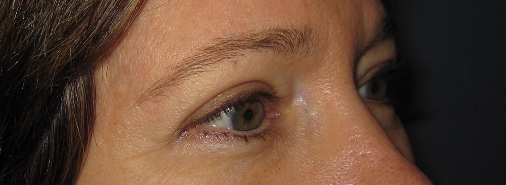
Before and after bilateral upper lid blepharoplasty in a 50-year-old woman. She was told she had a “stare” that was in fact completely unintentional – she was subconsciously trying to open her eyes as wide as possible at rest to compensate for her upper lid fullness and sagging.
An upper eyelid lift trimmed excess heavy skin from the upper lids but did not remove any deep muscle or fat pads. This avoids an empty and obvious “overdone” look that can be noticeable in some people who get their “eyes done”.
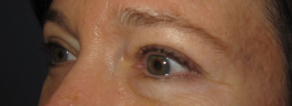
Follow up photos are shown 9 months after surgery. Note that her eyes and expression are now relaxed, since she no longer needs to compensate for droopy eyelids! The upper eyelid scar is hidden in her natural fold, and she looks like her own beautiful self.










*All photos are actual patient photographs and are for illustrative purposes only. Individual results may vary.