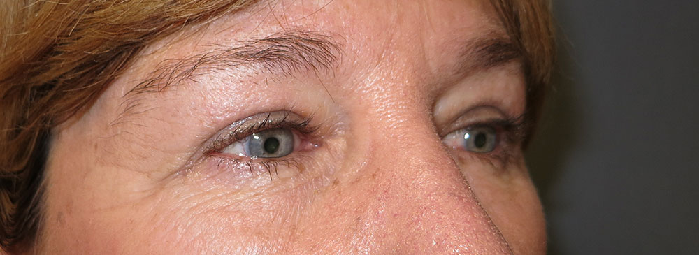
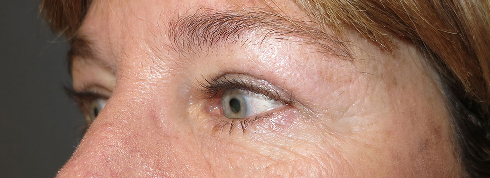
Before and after bilateral upper lid blepharoplasty in a 59-year-old woman. She felt her droopy eyelids always made her look tired, and she needed to lift her eyelid skin up to apply makeup.
An upper eyelid lift removed skin from her eyelids without affecting her eye shape. After surgery, she wore sunglasses for two weeks to conceal the bruising. Follow up photos are shown four months after surgery.










*All photos are actual patient photographs and are for illustrative purposes only. Individual results may vary.