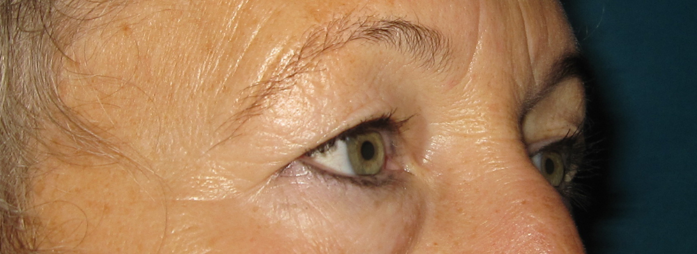
Before and after bilateral upper lid blepharoplasty in a 62-year-old woman. Her eyelids were drooping and made applying makeup difficult. She also felt that her eyelids made her look tired all the time, even when she was well-rested.
An upper eyelid lift that only removed skin, also called a “pinch blepharoplasty,” was performed at the same time as a breast revision procedure After surgery, she took two weeks off work completely and resumed face-to-face client interactions at one month.
Follow up photos are shown 6 months after surgery. She loves that her eyelids look natural and not over-done.












*All photos are actual patient photographs and are for illustrative purposes only. Individual results may vary.