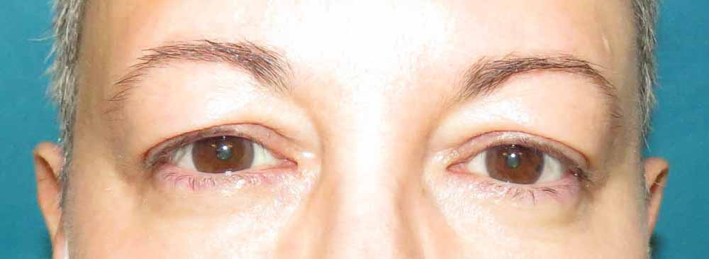
Before and after bilateral upper lid blepharoplasty in a 57-year-old woman. She was planning a breast procedure and wanted to improve the appearance of her upper eyelids at the same time. She had mild hooding due to excess upper eyelid skin.
An upper lid blepharoplasty using the “pinch technique” (only removing excess skin that can be pinched between forceps) created a more open contour to the eyes and avoided an unnatural appearance.
Follow up photos are shown 3 months after surgery. Her scars are fading, and she is very pleased with her results! The final image in this series shows her upper eyelid incisions are visible only with her eyes closed – they will continue to resolve over several more months.










*All photos are actual patient photographs and are for illustrative purposes only. Individual results may vary.