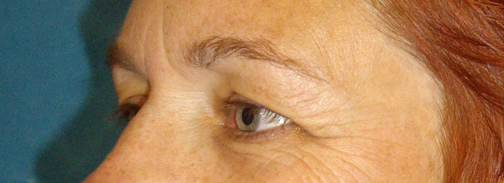
Before and after bilateral upper lid blepharoplasty in a 50 year old woman. She felt her droopy upper eyelids made her look tired, sleepy or disinterested – when in fact she was well-rested and energetic!
A bilateral upper eyelid lift used the “pinch method” to excise excess skin from her upper eyelids, but avoided removing too much skin or fat that would have caused a hollowed-out look or the inability to close her eyes all the way. Postoperatively, she applied cool packs to her eyes for the first several days and resumed light exercise when the bruising resolved completely – at three weeks.
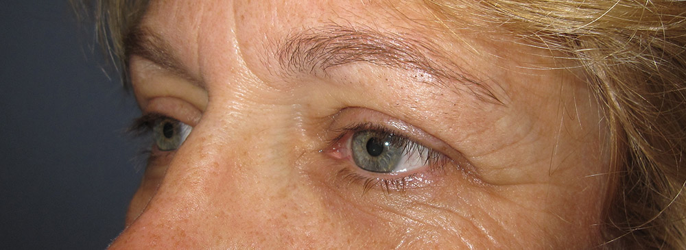
Long-term follow up photos are shown a year and a half after surgery, with mature scars hidden in the upper eyelid crease and a natural but rejuvenated appearance. She no longer hears “you look tired” at home, work or the gym!










*All photos are actual patient photographs and are for illustrative purposes only. Individual results may vary.