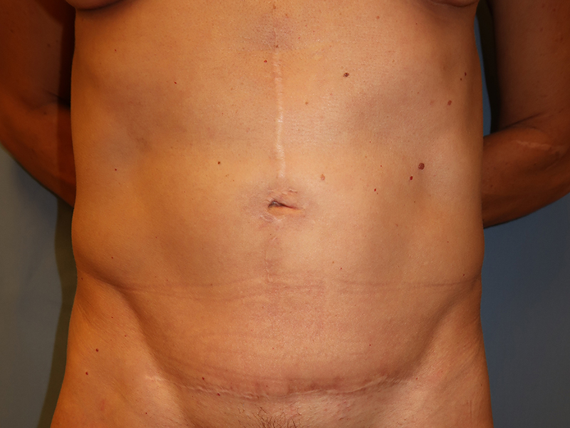
Before and after abdominoplasty and ventral hernia repair in a 45-year-old woman. She had former emergency abdominal surgery as a teen and was left with a hernia in her central abdominal region and rectus diastasis, with very little fat. Her core felt “unstable” – she was looking for improved ergonomics of her abdomen and the ability to go back to full exercise.
At the same time as a breast revision surgery, an abdominoplasty repaired her rectus abdominis muscles back together in the midline and corrected her hernia. A small amount of lower abdominal skin was removed, and her belly button was repositioned. Liposuction removed fat from her middle abdominal area.
Follow up photos are shown 6 months after surgery. Her core feels more secure when doing pushups and planks, and she has finally moved on from her past abdominal surgery.










*All photos are actual patient photographs and are for illustrative purposes only. Individual results may vary.